Procedimientos no Quirúrgicos
Harmony XL Pro
¿De qué se trata?
La completa plataforma multi-aplicación para toda la Gama de Necesidades Estéticas. Alma Harmony combina un completo espectro de indicaciones estéticas, tecnología de avanzada y resultados clínicos excelentes para crear una armonía estética completa.
Alma Harmony cuenta con una gama de aplicaciones de avanzada que le permite entregar tratamientos altamente efectivos, confiables y seguros para una gran variedad de asuntos relacionados a su piel. Cada tecnología y enfoque de tratamiento cuenta con un registro de seguridad de primer nivel demostrado en numerosos estudios clínicos. Los profesionales de la salud pueden tratar todas las partes del cuerpo, así como también todos los tipos de piel y satisfacer las necesidades de todas las personas.
Tratamientos con Harmony
Remodelación de la piel
Indolora y precisa, adaptada para tratar áreas delicadas.
Ejemplo
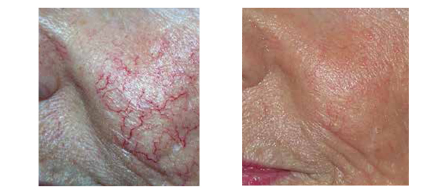
Lesiones Vasculares
Las lesiones vasculares pueden eliminarse o reducirse significativamente generando la fototermólisis selectiva de los cromóforos y la oxihemoglobina en el tejido a tratar.
Ejemplo
Lesiones Pigmentadas
Trata lesiones pigmentadas en todas las capas de la piel, incluso en pieles oscuras.
Ejemplo
Tono y textura de la piel
Piel suave, equilibrada y libre de imperfecciones con mínima incapacitación.
Ejemplo
Fotodepilación
Ofrece tratamientos rápidos y cómodos para el paciente, eficaces con todo tipo de pelo, en toda clase de pieles y en cualquier época del año.
Ejemplo
Eliminación de tatuajes
La tecnología de Alma emplea dos longitudes de onda para tratar eficazmente tatuajes de una gran variedad de colores.
Ejemplo
Hongos en uñas (Onicomicosis)
Las terapias habituales se basan en medicamentos y cremas. Ahora Alma abre una vía de tratamiento basada en el uso de láser que ofrece mejores resultados, clínicamente probados.
Ejemplo
Acné
Elimina el acné activo con resultados duraderos.
Ejemplo


